Skip to content
+39 081 552 0085via Medina, 17 - 80133 Napoli (NA)info@studiopaolopapa.it
  • Informazione Sanitaria
  • Consenso Informato
Informazioni Generali
Facebook page opens in new windowInstagram page opens in new window
Studio Odontoiatrico Paolo Papa
Studio Odontoiatrico Paolo Papa
Studio Odontoiatrico Paolo Papa Studio Odontoiatrico Paolo Papa
  • Home
  • Lo studio
    • Il nostro impegno
    • Lettera aperta ai pazienti
    • Verifica dell’iscrizione all’Albo
    • Casi Clinici
    • Dentisti dal 1871…
  • Attività Cliniche
    • Parodontologia
    • Terapia conservativa
    • Endodonzia
    • Odontoiatria Pediatrica
    • Chirurgia Orale
    • Ortodonzia
    • Gnatologia
    • Rigenerazione Ossea
    • Protesi Dentaria
    • Implantologia
    • Patologie Orali
    • Igiene Orale
    • Sbiancamento Dentario
  • Tecnologie
    • Sanificazione
    • Sterilizzazione
    • Sedazione cosciente
    • Laserterapia a diodi
    • Chirurgia con piezosurgery
  • Blog
  • FAQ
  • Dicono di noi
Richiedi un appuntamento!
  • Home
  • Lo studio
    • Il nostro impegno
    • Lettera aperta ai pazienti
    • Verifica dell’iscrizione all’Albo
    • Casi Clinici
    • Dentisti dal 1871…
  • Attività Cliniche
    • Parodontologia
    • Terapia conservativa
    • Endodonzia
    • Odontoiatria Pediatrica
    • Chirurgia Orale
    • Ortodonzia
    • Gnatologia
    • Rigenerazione Ossea
    • Protesi Dentaria
    • Implantologia
    • Patologie Orali
    • Igiene Orale
    • Sbiancamento Dentario
  • Tecnologie
    • Sanificazione
    • Sterilizzazione
    • Sedazione cosciente
    • Laserterapia a diodi
    • Chirurgia con piezosurgery
  • Blog
  • FAQ
  • Dicono di noi

Category Archives: Patologia dello smalto dentario

You are here:
  1. Home
  2. Category "Patologia dello smalto dentario"

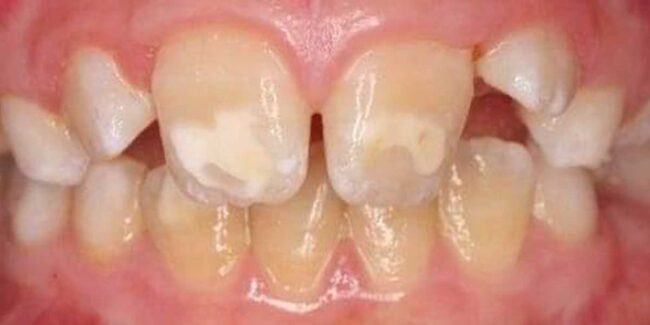
Studio Dentistico dott.ri Paolo e Cristina Papa | Medici Chirurghi Odontoiatri a Napoli: che cos'è la MIH?

Che cos’è la MIH?

Patologia dello smalto dentarioBy Dott.ssa Cristina Papa04/06/2020

Nell’ambito dei difetti dello smalto, è possibile riconoscere una particolare manifestazione patologica che colpisce gli elementi dentari in età pediatrica chiamata Molar Incisor Hypomineralization (MIH).

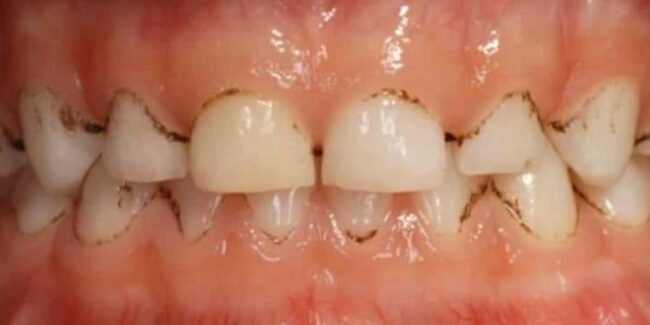
Studio Dentistico dott.ri Paolo e Cristina Papa | Medici Chirurghi Odontoiatri a Napoli: cosa sono le Black Stains

Cosa sono le Black Stains (BS)?

Patologia dello smalto dentarioBy Dott.ssa Cristina Papa21/05/2020

Si tratta di una colorazione endogena, caratterizzata da punti neri ad aspetto lineare, localizzata prevalentemente sul colletto dell’elemento dentario.
Si ritiene che il pigmento scuro derivi dall’interazione tra batteri cromogeni (in particolare Actynomices) e il ferro presente all’interno del cavo orale.

Studio Dentistico dott.ri Paolo e Cristina Papa | Medici Chirurghi Odontoiatri a Napoli: carie dentaria

La carie dentaria

Patologia dello smalto dentarioBy Dott.ssa Cristina Papa18/03/2014

La carie è una malattia infettiva che provoca la progressiva demineralizzazione dei tessuti duri del dente. È la patologia cronica più diffusa al mondo, in particolare nella popolazione pediatrica, con una prevalenza del 70% tra i bambini di età compresa tra 8 e 10 anni.

© 2026 Studio Odontoiatrico Paolo Papa | fatto da Web Napoli Agency

Go to Top